
Dental Crowns
Tooth damage, decay, and infection can be extremely painful and may even lead to the loss of the tooth if left untreated.
At Henderson Dental, Drs. David C. Henderson and Laura K. Jones can relieve oral discomfort and restore your tooth with a dental crown.
Our same-day crown services mean you can rejuvenate your smile in just one appointment at our Carthage, MS, dental practice.
So, What Is a Dental Crown?
The Powerful Change A Crown Can Provide
High-Tech Dentistry With a Small-Town Touch
Drs. David C. Henderson and his daughter, Dr. Laura K. Jones, are both from Carthage, MS, and are proud to serve patients in their local community. Our team brings the latest dental techniques and technology to our small-town office, giving patients access to top-of-the-line modern dentistry.
Whether you are looking for a new dentist or shopping around for the best dental crown, look no further than our Carthage practice. We look forward to helping you and your family with all of your dental care needs. Contact us online or by calling:
(601) 267-5624

"Always excellent." Our Carthage Team Earns 5-Star Reviews
"My visit to Dr. Henderson is always excellent. The nurses and himself always make me feel comfortable and even the receptionist is nice." Gaming With Erick
Do You Need a Dental Crown? When It's Time to See the Dentist
The only way to know for sure if you need a crown is to visit the dentist for an exam. Patients typically learn they need treatment after we diagnose a dental condition during a routine check-up. However, you may notice abnormal symptoms on your own that could indicate the need for a dental crown.
Ask yourself the following:
-
Does my tooth look discolored?
-
Am I experiencing pain when chewing?
-
Are my teeth sensitive to hot and cold temperatures?
-
Is my tooth structurally damaged with a visible crack or fracture?
If you answered yes to any of these questions, it's time to set up an appointment with our dentists in Carthage. During a consultation, we can highlight the differences between restorations like crowns and dentures and determine which treatment best fulfills your needs.
Your Dental Crown Treatment Timeline
Our patients throughout Jackson, Philadelphia, and Carthage, MS, have the option of receiving same-day crowns. Here is what you can expect during the treatment process.
Thanks to our same-day crown services, your crown can be ready in about an hour while you wait comfortably in our office.
Questions? Ask Our Dentists A Dental Resource for the Carthage, MS, Community
Dental crowns are a versatile restorative dentistry solution that can preserve your natural tooth. Since crowns are permanent restorations, we want to make sure you have a full understanding of your options before you commit to treatment. Dr. David C. Henderson and Dr. Laura K. Jones will answer your questions about the procedure and any alternative treatments that may fit your dental needs.
You can discuss your case at length during a consultation or learn more about your options by calling our Carthage, MS, office:
(601) 267-5624

High Praise for Our Team From a Carthage, MS, Patient
"The only word for the service is great.Thank you to the staff for over 25 years of great work." Percy Whalen
Why Choose CEREC Crowns?

Porcelain CEREC crowns look incredibly natural and will blend in seamlessly with the rest of your smile.
As many patients know, getting a dental crown was not always as simple as we make it seem. Traditionally, patients would wear a temporary crown for a few weeks while their permanent crown was made at an off-site dental lab. Temporary crowns are known to be less stable and are more likely to fall off and leave your tooth exposed.
Now, with CEREC technology, we can start and finish your treatment in one office visit, making temporary crowns and lengthy waiting periods a thing of the past. Best of all, same-day restorations do not compromise on quality.
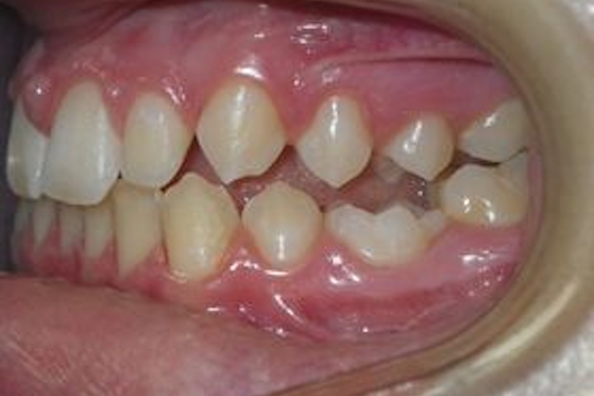
Take a Look at the Result Can You Spot the Crowns?

Tell Me More
About Implant-Supported Crowns
Dental implants are one of the best solutions in modern restorative dentistry for patients with tooth loss. We can restore any number of missing teeth by attaching custom-made restorations like crowns and dentures to dental implants. If you are missing a single tooth, an implant-supported crown will repair the visible gap in your smile as well as protect you from oral health problems like jawbone recession. Ask our dentists if you are a candidate for dental implants during your next appointment at our Carthage office.
Don't Know Where to Begin? Contact Our Compassionate Team
After a root canal, injury, or tooth decay, you may worry that you'll never get your old smile back again. However, it may help you to know that many of our dentistry patients have experienced the same concerns. Like them, you have a knowledgeable team ready to put you at ease.
We understand that every patient comes to us with unique needs. It's our goal to work with you to find a custom solution—and to keep you fully informed about your options. We feature different materials, like porcelain and zirconia, so you can find an option that fits your needs and your budget. Contact our friendly Carthage team to get started. You can also call us at:
(601) 267-5624

You've Found Your Home for Dental Care
"Had a root canal Monday, I never felt a thing. And all of the staff were so pleasant. Dr. Henderson and Dr. Jones are by far the best dentists I have ever visited. I will use them from now on and I suggest you do as well!" Jay Weaver
What If I Need A Traditional Crown?
In some cases, traditional crowns may be a better option to restore your natural tooth than our same-day dental care. If you choose a traditional crown, we'll send an impression of your tooth to the technicians at our partnered lab, where your permanent crown will be crafted from porcelain. This process typically takes two to three weeks, during which we can provide a lifelike temporary crown.
A temporary crown protects your natural tooth and allows you to chew while you're waiting on your permanent restoration. When wearing a temporary crown, you should avoid certain habits that can damage or dislodge the cap. This includes teeth grinding, smoking, and eating harder foods.
If your temporary crown falls out, keep it safe and call our office for additional instructions.

Are Crowns Difficult to Maintain?
Not at all! Your permanent dental crown will require little to no additional maintenance, which is another benefit of treatment.
Dental Care Tips For Crowns
With proper at-home dental care, you may be able to make your crowns last even longer. Some simple yet effective steps include:
Brushing Twice Each Day
Porcelain, zirconia, resin, and more—no matter which material your crown is made of, it still needs daily dental care. Remember to brush twice a day, taking time to fully cover your teeth, gums, and tongue.
Flossing Correctly
Flossing once a day is crucial for your oral health. When flossing, you should also slide the floss out between your teeth rather than lifting it out, which can catch on the crown and dislodge it.
Eating and Drinking Mindfully
Though porcelain crowns are strong, you can still do your part to keep them intact. Avoid sticky or hard foods, such as caramel or ice, as well as drinks that may stain your crowns, like wine or coffee.
Being Careful With Your Teeth
It's tempting to use your teeth to open packages or skip wearing a mouthguard during contact sports, but these are easy ways to damage crowns. Protect your beautiful smile by being careful with your teeth.
Avoiding Tobacco Products
Tobacco products are very dangerous for your dental and overall health. In addition to affecting your whole-body wellness, they may discolor your crowns and your natural teeth.
Another Great Review for Our Carthage Practice
"Besides being very good dentists, they are very kind and patient. The whole staff is great!" Jerri Thrasher
How Much Do Dental Crowns Cost?
The average price per crown can range from $800 to $1,500 or more, but the total cost depends on several factors, including the number of crowns and your choice of materials.
When used to address damage or decay, dental crowns are considered a medical necessity, and most insurance plans will cover at least part of the cost. However, crowns placed for cosmetic purposes are not typically covered. We accept insurance and can help you explore ways to make the most of your coverage.
We also offer flexible financing options for patients who do not have insurance or who want additional options to cover out-of-pocket expenses. During a consultation, our staff can see how much your insurance will cover and provide a more personalized estimate for your treatment.














