In-Office Zoom Whitening: Case 5
Description
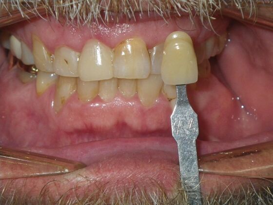
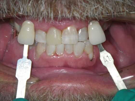
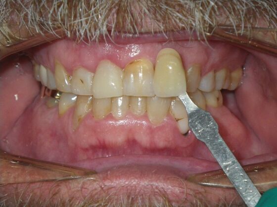
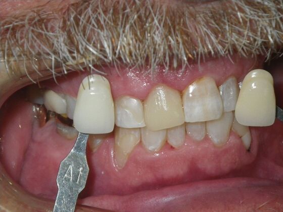
Patient recently had the upper right central incisor crowned due to a vertical crown fracture and we used a lighter shade of ceramic, compared to his surrounding teeth. He wanted to see if In Office Bleaching would be successful enough without crowning the other front teeth to match the lighter shade. We did have concerns with the upper left central incisor at the collar being quite dark. His initial shade prior to bleaching approached shade A-4. After In Office Bleaching we were able to approximately get to A-1





