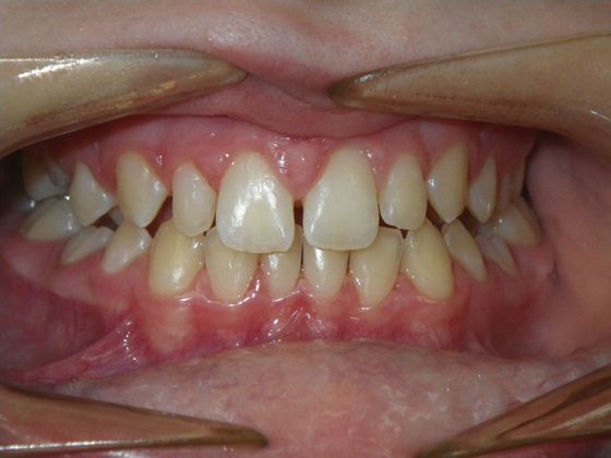
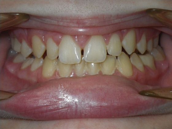
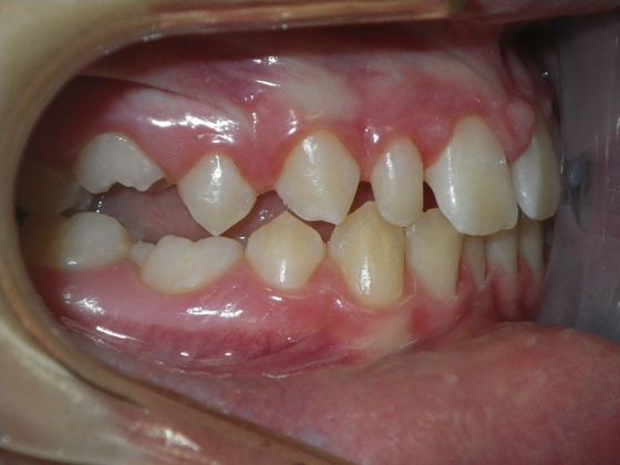
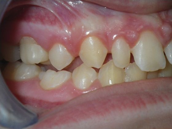
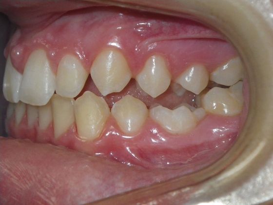
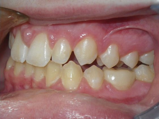
Tooth Colored Crowns for Longterm Primary Teeth without Permanent Replacement: Case 1
Description
Patient had no permanent replacement for upper right and lower left primary second molars. In fact, the primary second molars were submerging. Rather than fabricate an awful looking stainless steel crown, we opted to mill a tooth colored resin crown with excellent strength and deliver with same day service. We could also get started with her orthodontic treatment and bond brackets to the milled resin crowns. A win-win for everyone!







