Cosmetic Changes with Veneers and Crown and Bridge: Case 5
Description
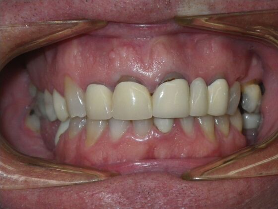
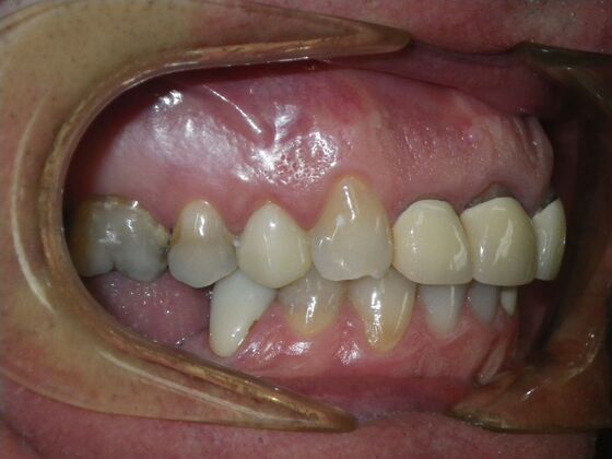
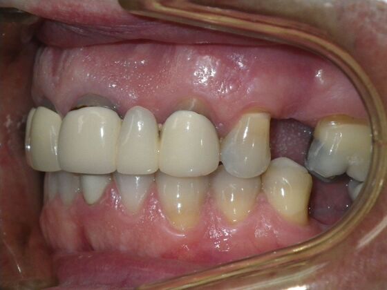
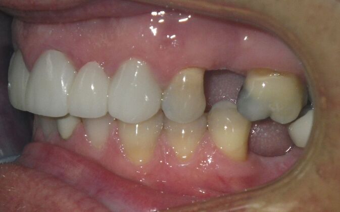
Patient wanted to see about getting his upper front crowns replaced. He has had them for 35 plus years. Also concerns about his gums receding and the metal margins of crowns showing. Also talked with him about the need for crown lengthening which would have helped decrease the gummy smile; however, he chose not to do this. I thought just replacing the existing crowns to the existing gingival margins would be a great help. So the existing porcelain/metal crowns were removed and new all ceramic single unit crowns placed from upper right cuspid,lateral incisor and right central incisor. Then a 3-unit all ceramic bridge was placed from upper left central incisor to upper left cuspid. This patient and most of all his wife were very pleased with the end result.











