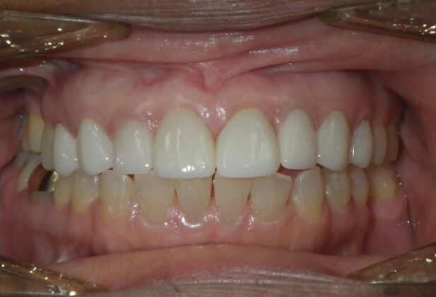
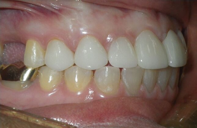
Cosmetic Changes with Veneers and Crown and Bridge: Closing spaces and masking discolored teeth.
Description
This patient presented with generalized spacing on the upper arch, especially in the incisor area. There was also a smaller than normal upper left lateral incisor ( peg lateral) which contributed to further spacing. Patients chief complaint was the spacing that showed on smiling as well as the dark discoloration of her teeth. I advised that we could be conservative and perform porcelain veneers to mask the discoloration and close all spaces. However, the left lateral incisor would need full porcelain coverage. She was very pleased with her post-op results.
















