Orthodontic treatment in Phases: Case 11
Description
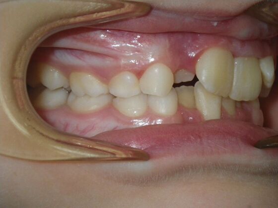
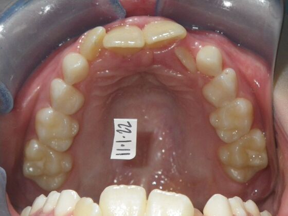
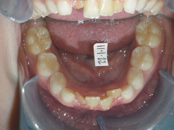
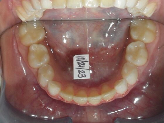
This sweet patient presented with constricted upper and lower arches and blocked out, rotated upper and lower anterior teeth. The upper centrals were leaning backward and had the lower arch captured preventing anterior advancement. Treatment was begun on the upper arch first, followed with placement of lower lip bumper to allow for lateral and anterior development of lower arch. Eventually placed lower brackets with strategic slenderizing of primary teeth to allow permanent incisor to assume their proper placement. All accomplished within 12 months and straight-wire appliances.













