Orthodontic treatment in Phases: Case 12
Description
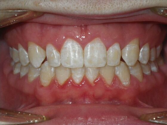
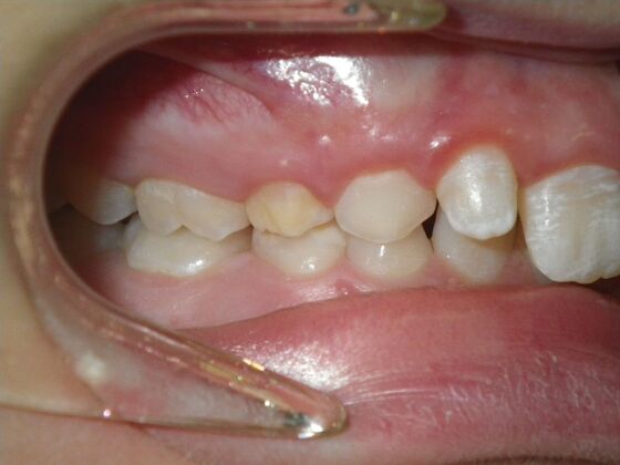
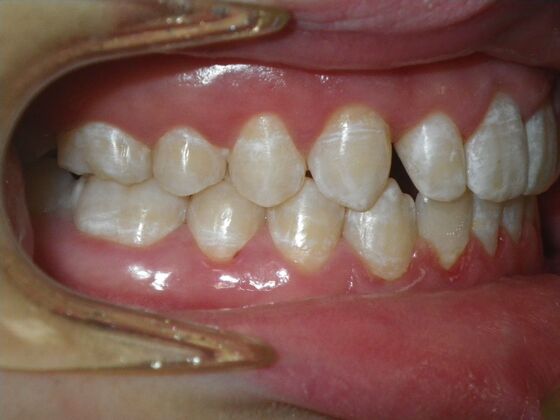
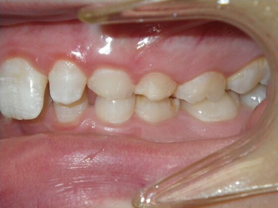
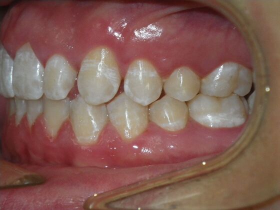
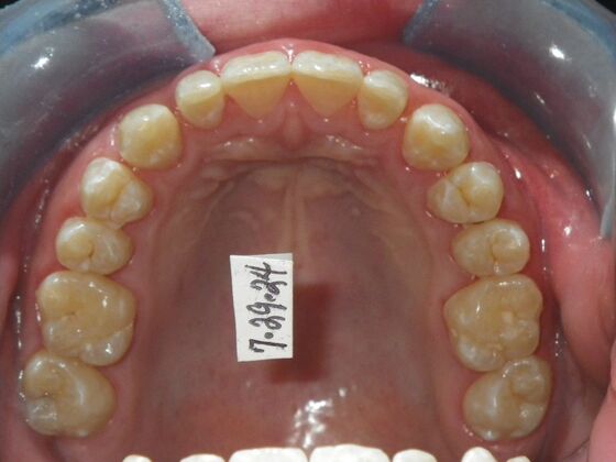
This patient does not like his anterior deep bite and the flaring of the right lateral incisor as well as anterior spacing. The solution was to correct his Class II molar relationship, Division II and deep anterior bite and close spacing as much as possible with addition of composite restorations on distals of lateral incisors. We began with utility archwires, eventually correcting Class II molar with distalizing appliance, and continued with final tip and torque. All that is left now is to ad composite to distals of upper lateral incisors.













