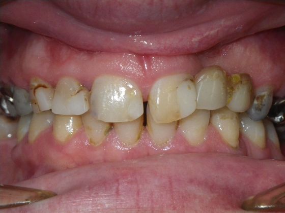
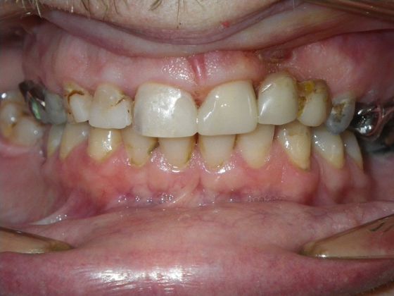
Same Day Service With Ceramic Restorations: Case 3
Description
Upper left front tooth is tipped away from midline, creating space between both front teeth. Same day service by designing and delivering an all ceramic crown on left front tooth closing the space. Plan to do other crowns on upper right, same day service( no temp crowns) as well as remake upper removable partial denture.



