Same Day Service With Ceramic Restorations: Case 4
Description
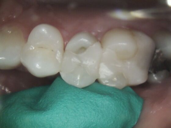
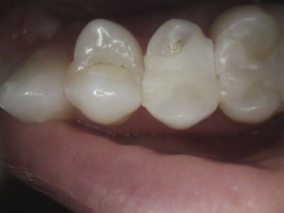
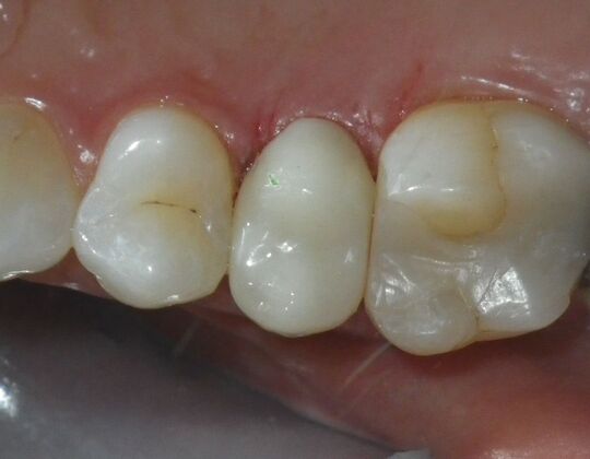
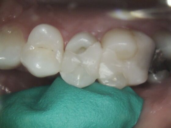
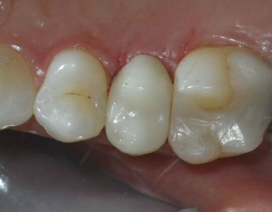
This patient presented with recurrent decay underneath a large 4 surface composite restoration on her upper right 2nd premolar. Encouraged that this tooth needed a full ceramic crown placed; however, at patients request she wanted to be conservative and only replace the composite restoration at this time. The composite was removed as well as recurrent decay and restored. In less than a month, this restoration chipped and she began having trouble with food trapping where it had chipped. She did return and the chip had actually gotten larger. This tooth was prepared for all ceramic crown and delivered her permanent crown within two and a half hours rather than 2-3 weeks. Dentistry is changing every day and no longer do you have to wear a temporary crown and wait 2-3 weeks for delivery of a permanent crown









