Invisalign: Case 1
Description
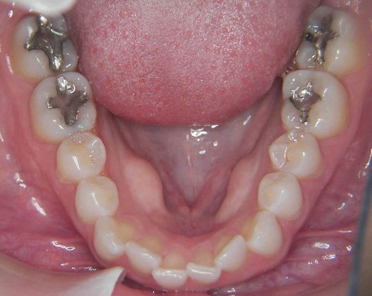
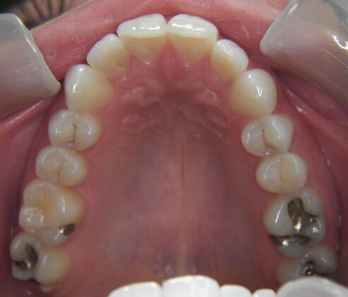
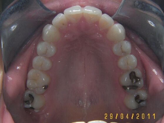
This patients primary concern was her lower anterior crowding but she also wanted to decrease the buccal corridor shadows in the smile zone. Due to slight constriction of both arches, this could be corrected using Invisalign aligners which would correct the lower anterior crowding and at the same time give her a wider smile without the dark shadows. Invisalign aligners were used for 8-9 months and patient was very pleased with reults.









