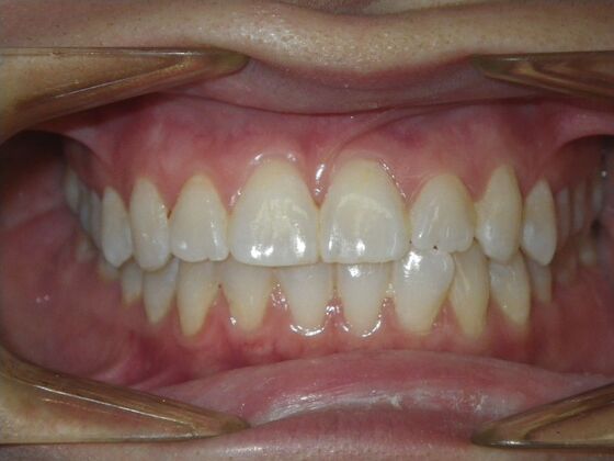
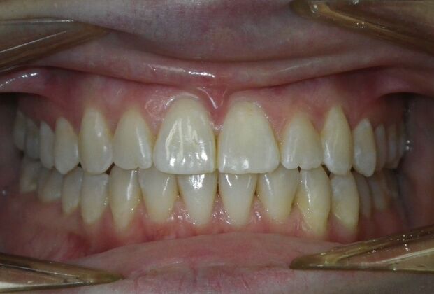
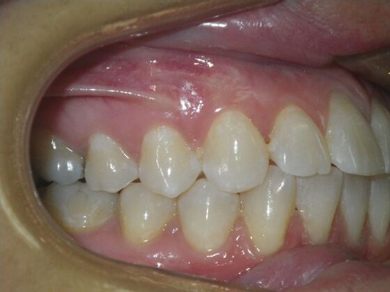
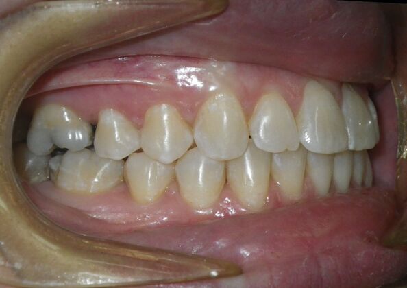
Invisalign: Case 18
Description
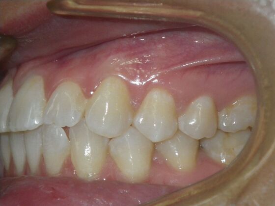
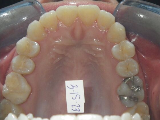
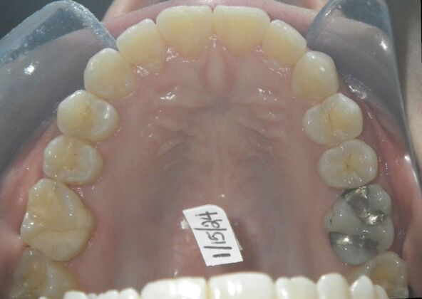
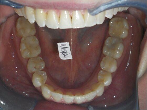
This patient had concerns with the lower anterior teeth. There were some slight rotations and the midline of the lower incisors wasn't lined up with the upper midline. To correct this we used slenderizing of teeth in strategic areas of the lower arch to correct the rotations and line up the midlines. Patient very pleased with the results.













