Invisalign: Case 17
Description
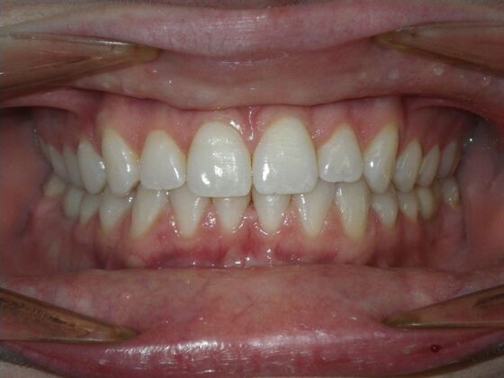
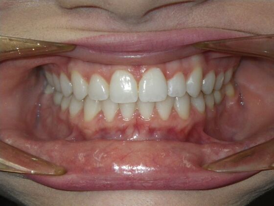
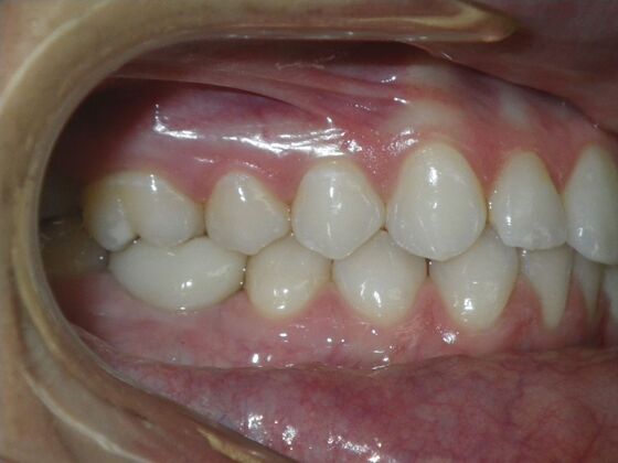
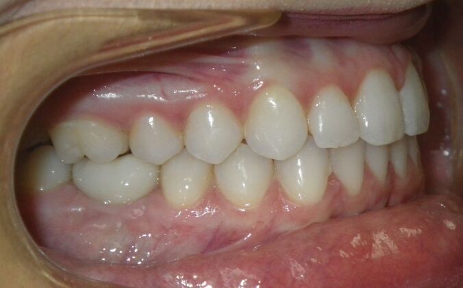
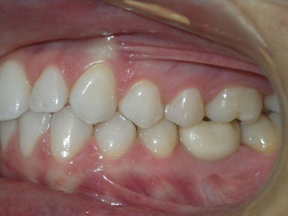
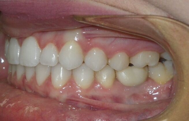
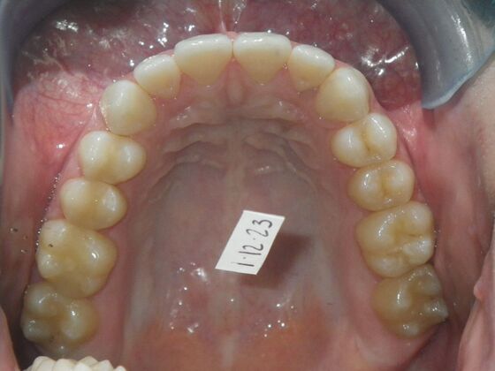
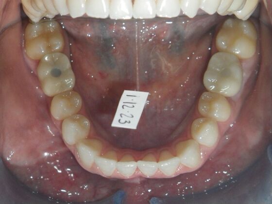
This patient was an awesome dental assistant for our practice and we were all very sad when she had to move closer to her home. She was very interested in correcting some minor spacing and rotations in her upper and lower anterior teeth and to decrease her overbite as well.Treatment took about 12 months, but we were pleased with the results and fabricated clear invisalign vivera retainers. We are still hoping one day she will return to be with us again.













