Invisalign: Case 2
Description
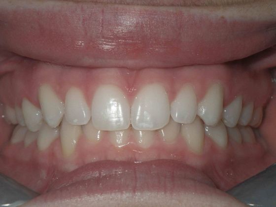
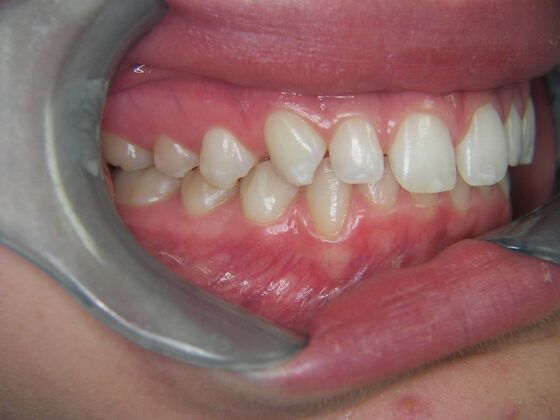
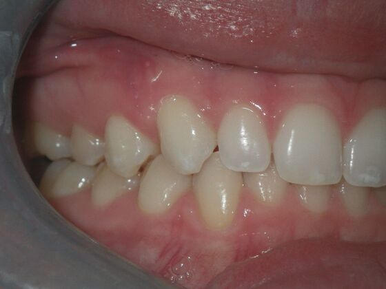
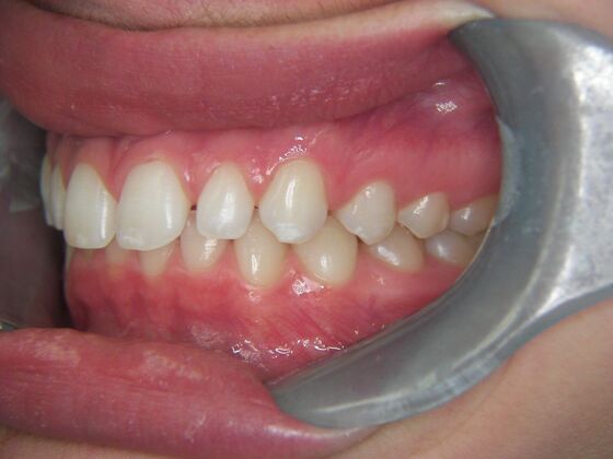
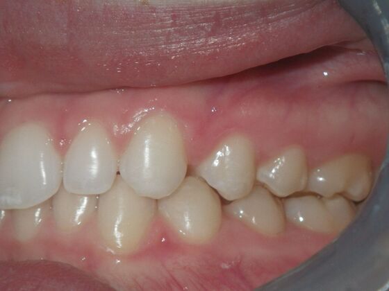
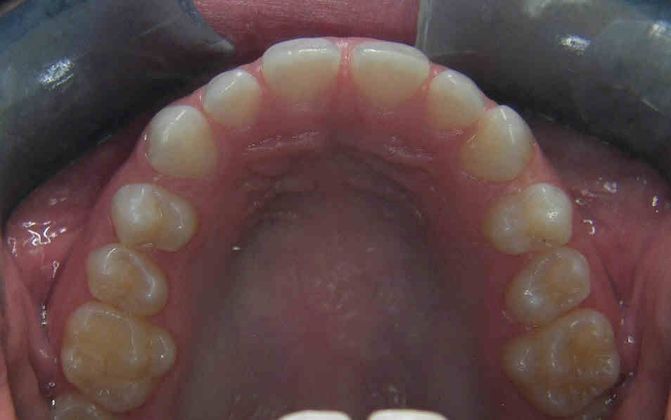
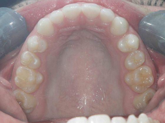
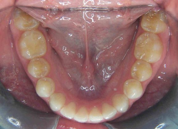
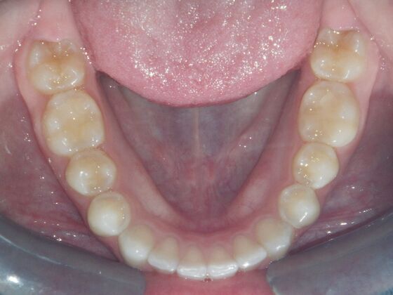
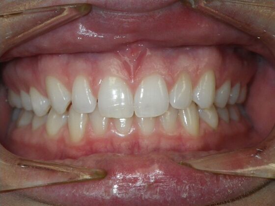
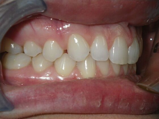
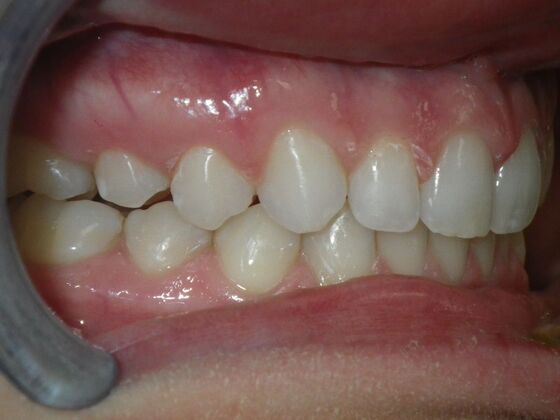
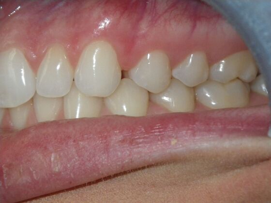
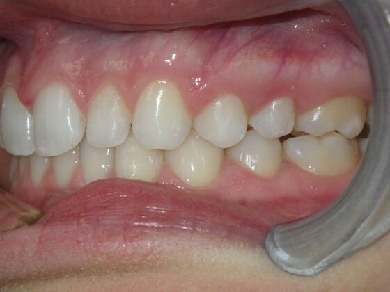
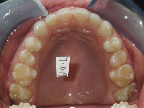
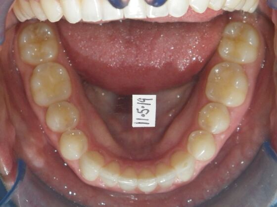
This patients main concern was to close all spacing especially in the smile zone. This was accomplished in approximately 10 months of active Invisalign therapy followed by retention with Clear Vivera Retainers, which is a series of 4 sets of clear retainers to be worn for 3 months each. The first set is worn for 3 months, then advance to the next set for 3 months, followed by the 3rd and 4th sets. After a year of retention with the 4 sets for 20-22 hours seven days a week, then you start over with the first set again for 3 months; however, only night time wear every night and proceed with the 2nd, 3rd, and 4th set as the 1st set was worn. I know this may sound confusing; however, if done properly, the corrected teeth will not move and everyone is happy. The results of our initial treatment were very successful; however,retention with vivera retainers could have been better, and we opted to retreat with Invisalign Express which was about half the number of the initial aligners as in the beginning. We were much happier after the second round of aligners. This just goes to show that retention is mandatory and if you don't, teeth remember where they use to be.

























