Orthodontics: Case 1
Description
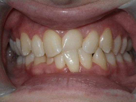
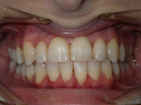
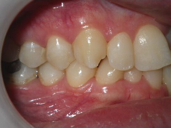
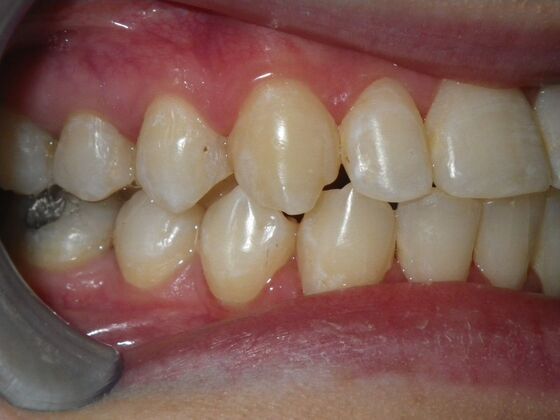
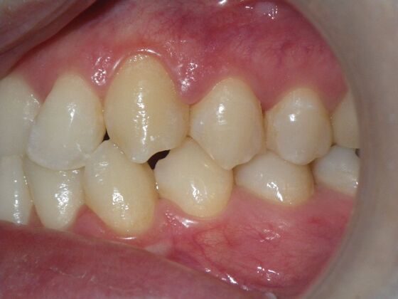
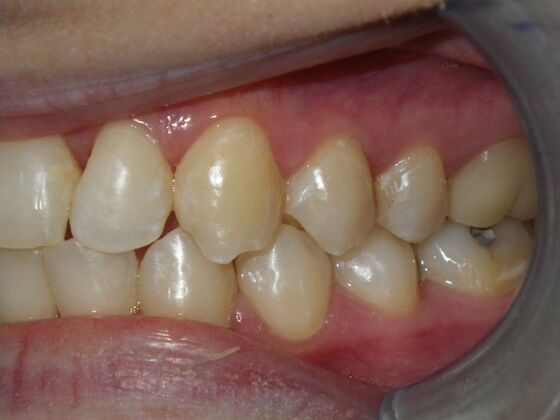
Patient presents with moderate to severe constriction( narrowing) of upper and lower arches, which is more pronounced and revealing in the anterior or smile zone. Due to this narrowing, the end result is excessive crowding of the upper and lower incisors with an associated crossbite of the left central incisor. Patients primary treatment objective is to have a more esthetic and pleasing smile. After correction we did a Zoom Bleach which really helped to accentuate her smile. We were all very pleased with the final result.















