Orthodontics: Case 10
Description
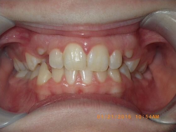
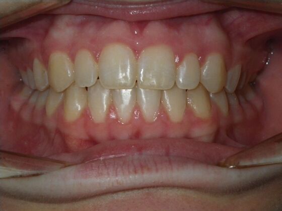
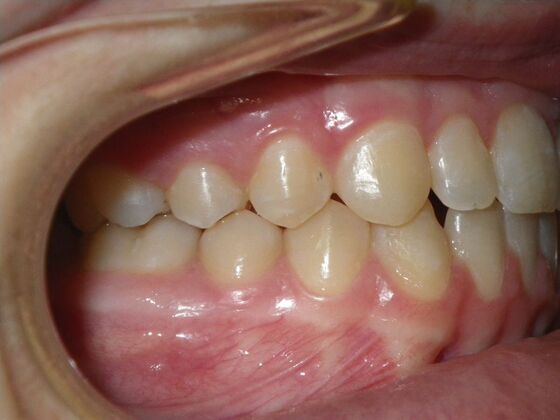
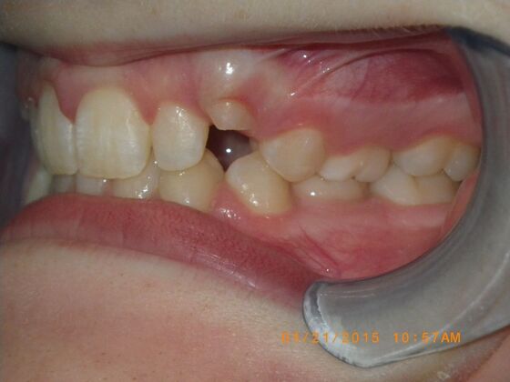
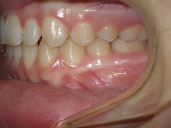
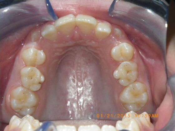
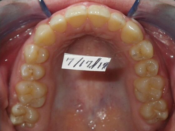
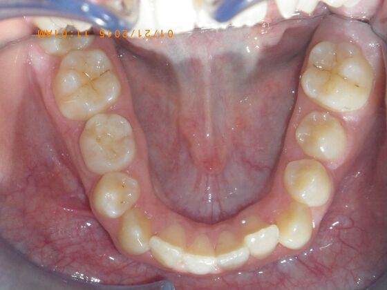
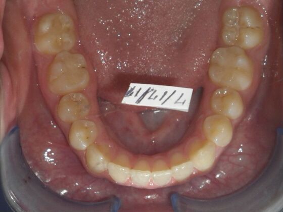
This case presents with a dental midline discrepancy. The upper incisors are tipped toward the palate, which prevents the lower incisors from establishing proper arch form. The upper right molar has drifted forward, causing the upper midline to be skewed to her left. By distalizing the upper left molar, we can correct the midline discrepancy. Lastly, both upper and lower arches need expansion. All of this was completed with conventional straight wire appliances within 2 years.













