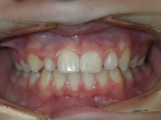
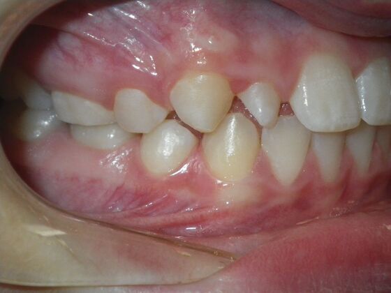
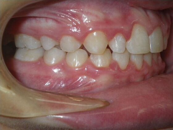
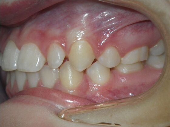
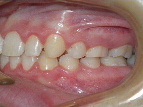
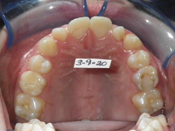
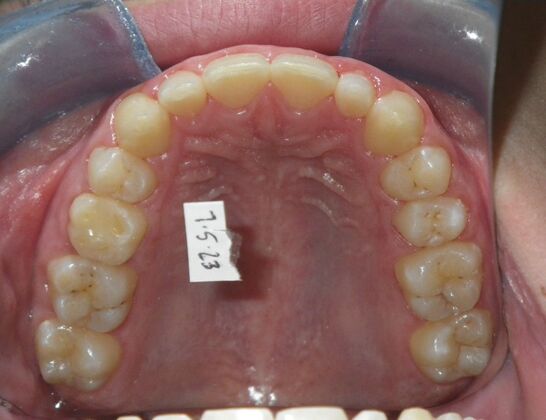
Orthodontics: Case 41
Description
Rotate and align upper right and left lateral incisors with crown lengthening and composite bonding. Patient is congenitally missing the upper left 2nd premolar; therefore, we will retain the primary 2nd molar as long as possible.













