Orthodontics: Case 4
Description
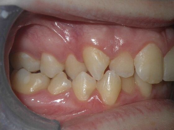
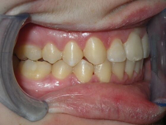
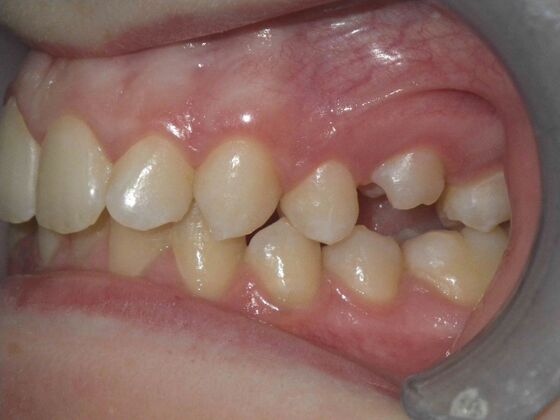
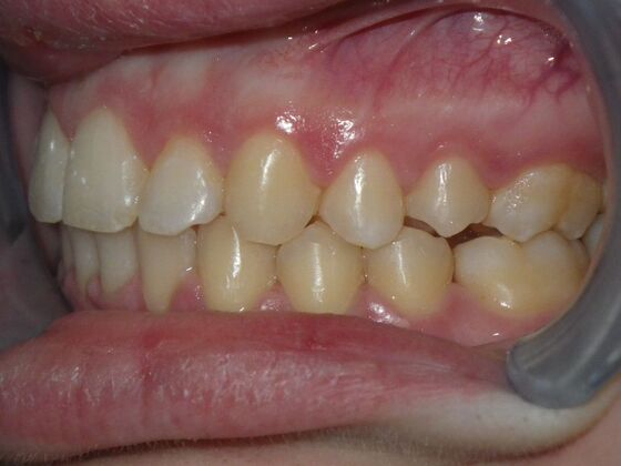
Patient presents with constricted upper and lower arches, numerous crossbites on right side, with upright central incisors on upper arch that will need to be flaired to provide adequate lip support. I decided to use on this case self ligating brackets, to help with expansion purposes. This case turned out very well with flairing of upper centrals, crossbite corrections, expansion of arches, as well as establishing better arch form and symmetry.













