Orthodontics: Case 7
Description
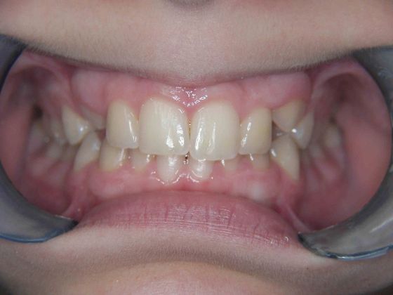
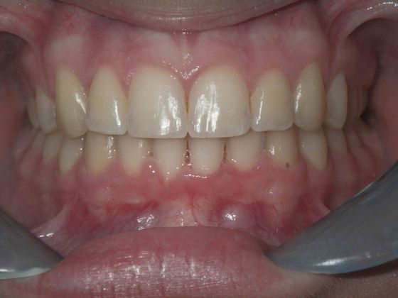
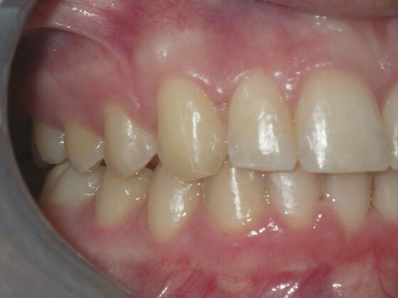
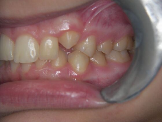
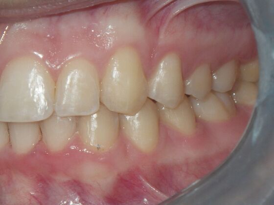
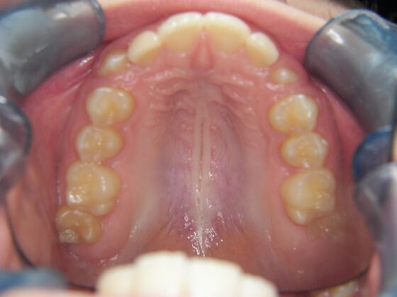
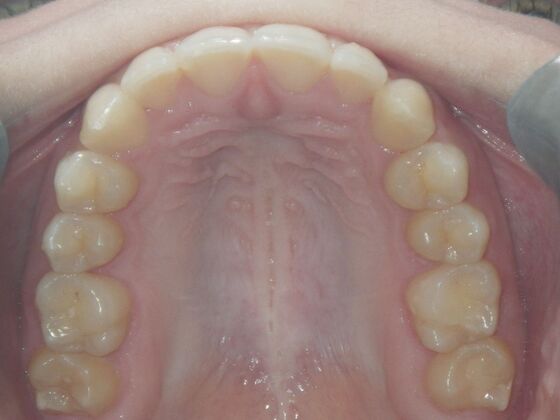
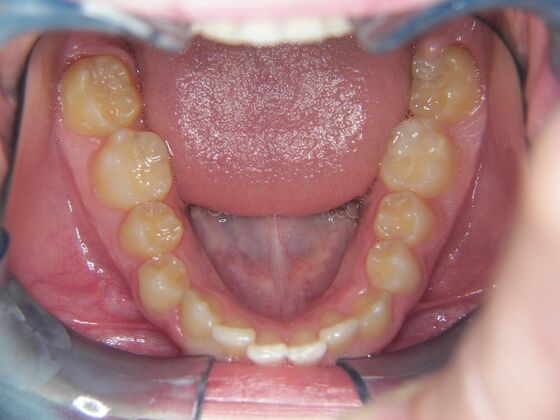
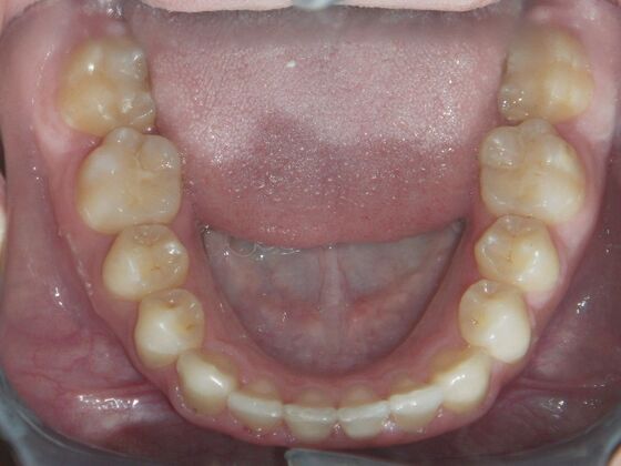
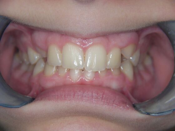
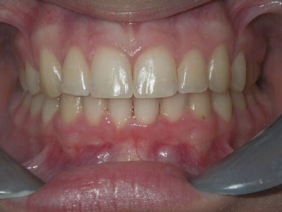
This patients chief complaint was lower anterior crowding with an associated moderately deep anterior bite. Of other significance, were upper and lower constricted (narrow) arches, incisal edge length discrepancies of upper right and left central incisor, and some rotations of cuspids and bicuspids. These were corrected with conventional straight wire orthodontics in approximately 2 years. We were all pleased with the outcome.

















