Orthodontics: Case 43
Description
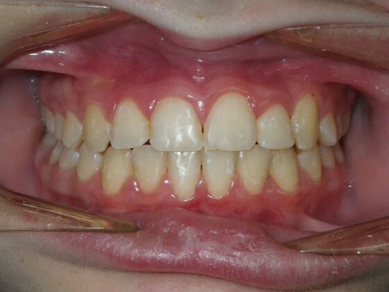
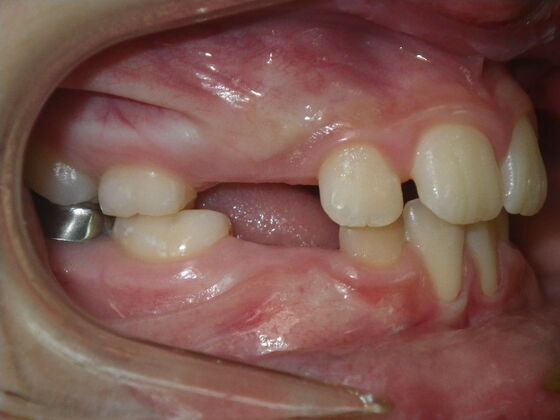
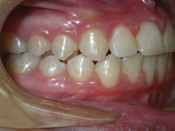
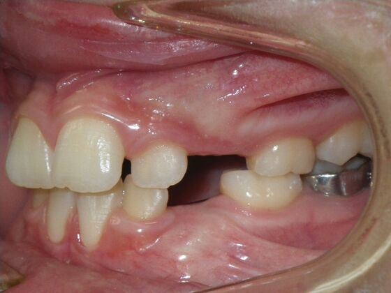
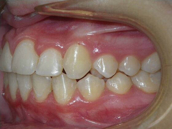
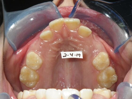
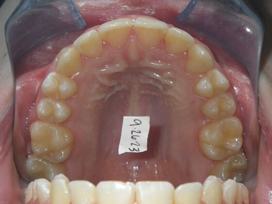
Patient presented with mixed dentition and mild deep overbite, excessive overjet,and rotated lower incisors. She also had a lower bilateral lingual retainer, preventing lower molars from coming forward. She was treated with utility archwires initially, waiting for eruption of cuspids and bicuspids. This was followed by conventional straight wire appliances and upper and lower standard hawley retainers.













