Orthodontics: Case 34
Description
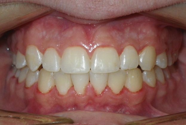
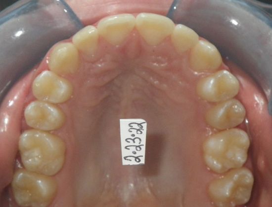
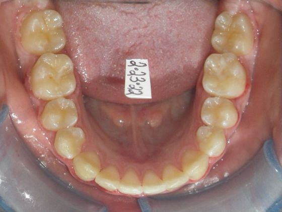
This patient had an upper right permanent cuspid that was impacted and would need uncovering by oral surgeon who would place bracket with chain to help enable us to tease the permanent cuspid into its proper position. She also had a permanent 2nd Molar that was impacted due to improper development of 3rd molars and the oral surgeon could remove them at the same time as uncovering of the permanent cuspid. After uncovering and removal of lower 3rd molars, we would begin comprehensive straight wire orthodontic treatment.









