Orthodontics: Case 2
Description
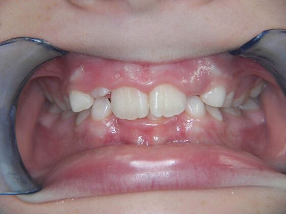
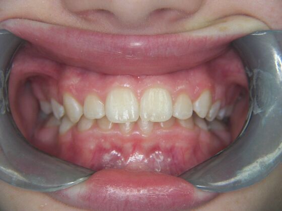
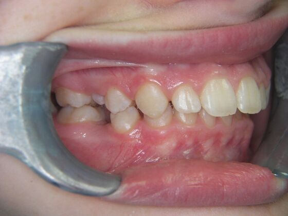
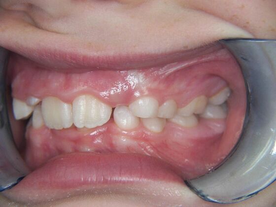
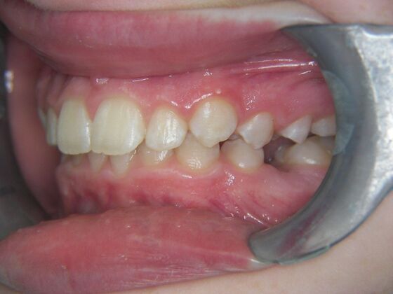
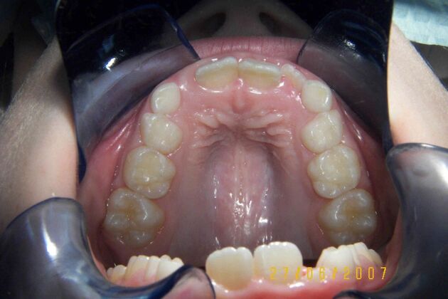
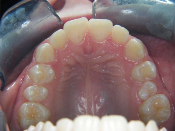
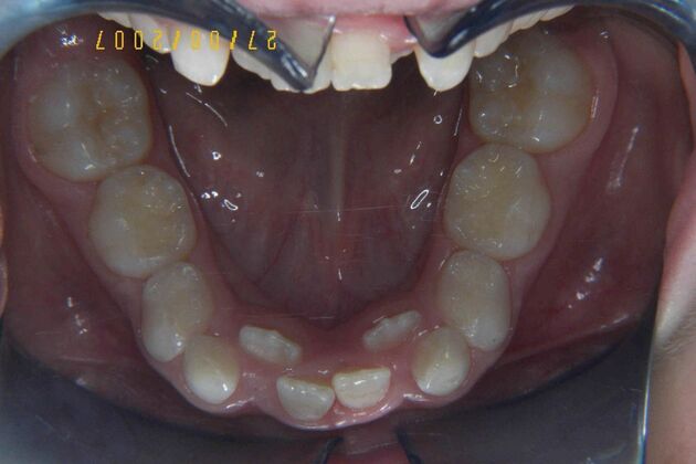
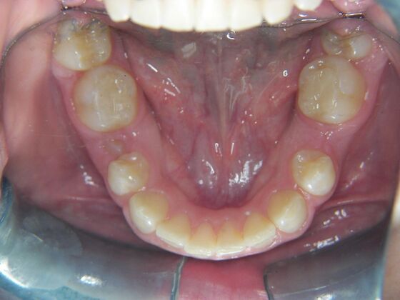
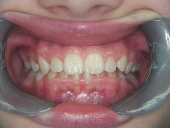
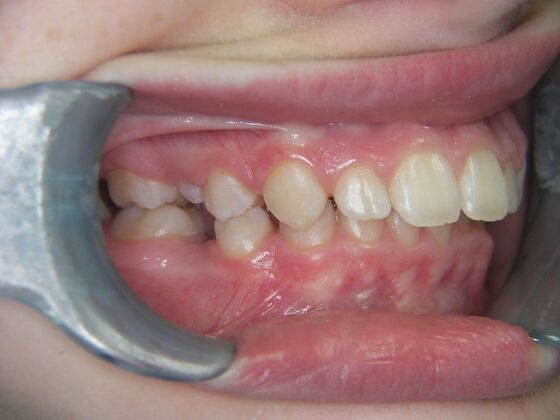
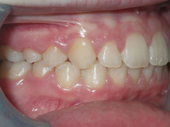
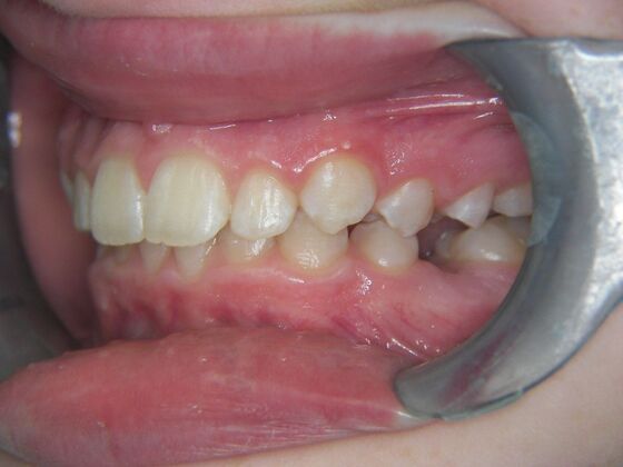
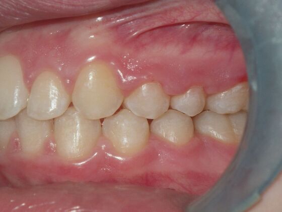
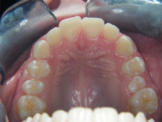
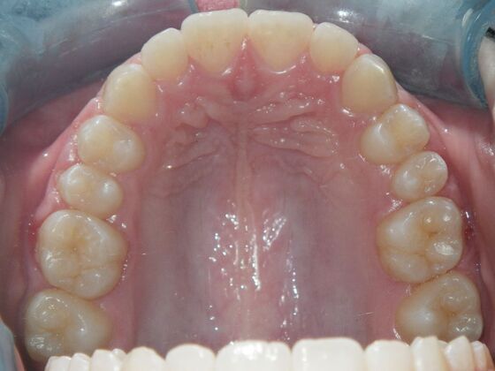
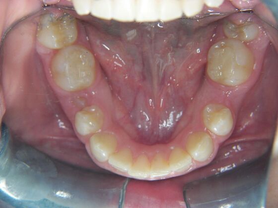
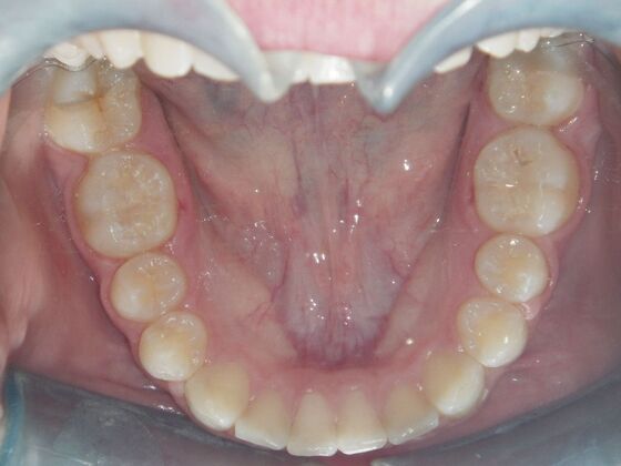
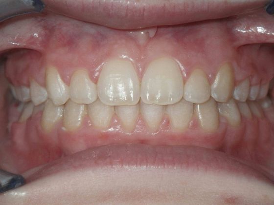
Patient is 9 years old and presents with 100% overbite and blocked out upper and lower lateral incisors. Both upper central incisors are palatally inclined causing a lack of space available for most anterior teeth. Advised her parents that she needs Phase I Interceptive Orthodontic treatment to provide room for all upper and lower front teeth. Phase I treatment was begun and finished, then began Phase II treatment shortly thereafter to finalize case. Removable retainer were fabricated for retention.





























