Orthodontics: Case 9
Description
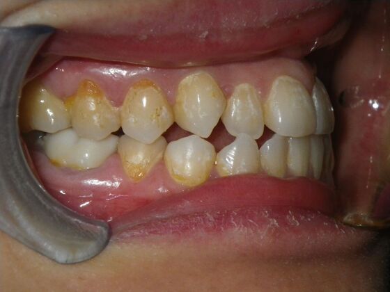
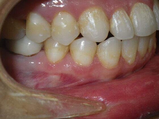
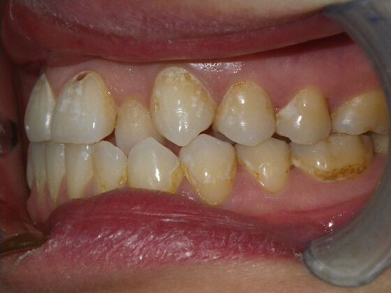
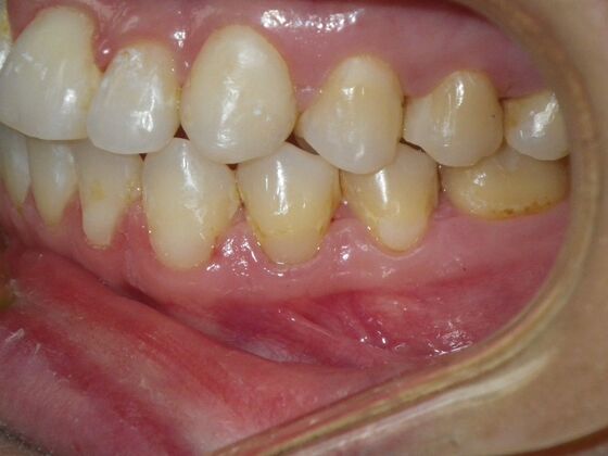
This case had numerous issues the patient wanted to correct . She presented with cervical and proximal decay that needed restorations prior to any orthodontic treatment. So all decay areas were removed and restored with composite restorations. Orthodontic records were taken and a list of concerns both the patient had as well as what we diagnosed were formulated. The patients chief complaint were the upper two blocked out lateral incisors that presented in a palatal crossbite. Upper and lower arches were both rounded out nicely; however, the upper molars were in a retrusive relationship with the lower molars. The corresponding upper incisors were almost end to end with the lower incisors. So a treatment plan was to advance the upper centrals, providing room for the laterals, and finishing up with rubber bands to correct posterior relationships.The outcome of our treatment was pleasing to all. Also performed Zoom whitening after ortho treatment with conventional straight wire appliances.













