Orthodontics: Case 36
Description
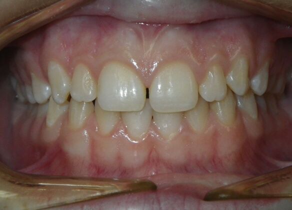
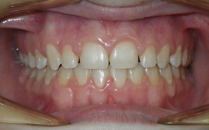
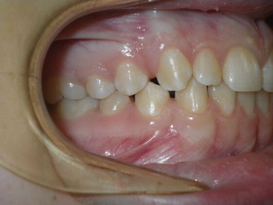
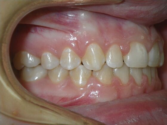
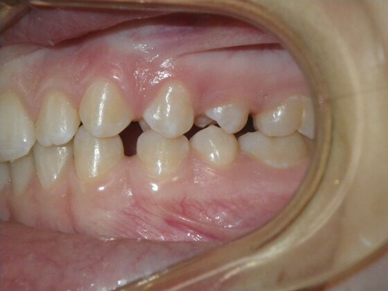
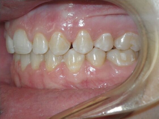
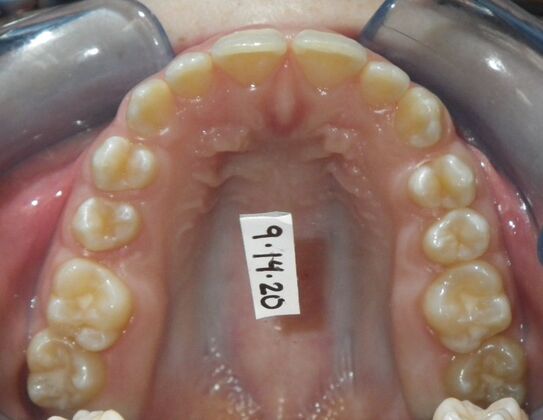
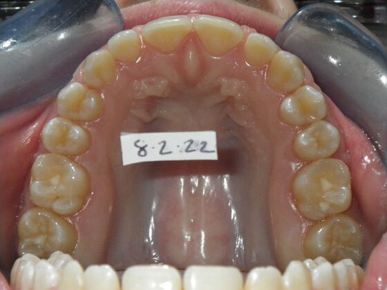
Patient presents desiring all spaces on upper and lower teeth closed. She will need slight expansion of upper arch due to lower molars leaning inward toward tongue. Used nitanium palatal expander with built in rotation of upper molars and lower lip bumper to upright lower first molars. Patient was also informed that her upper lateral incisors would require bonding due to their small size to close all space.













