Orthodontics: Case 5
Description
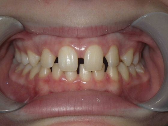
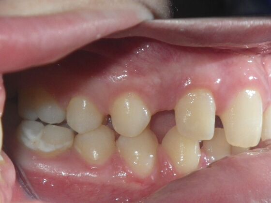
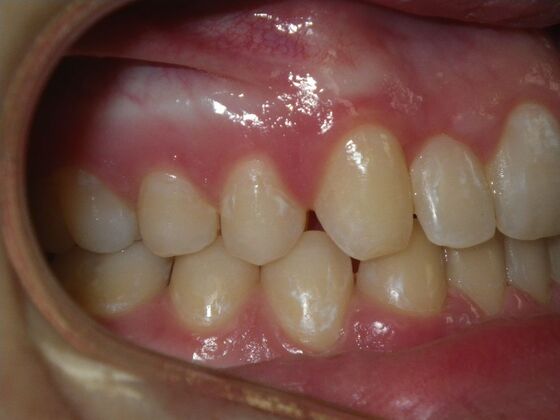
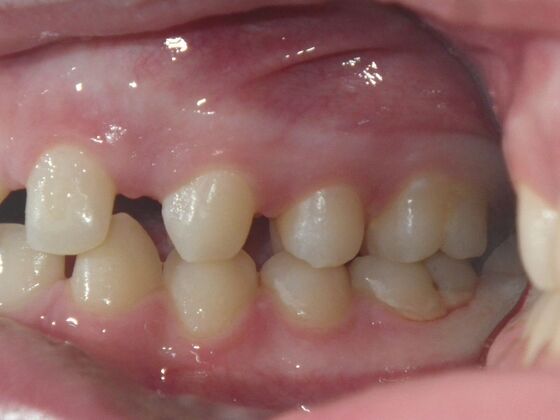
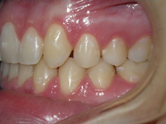
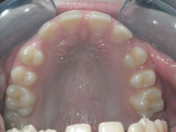
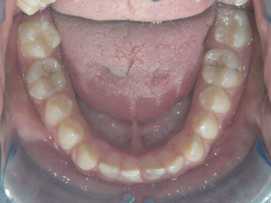
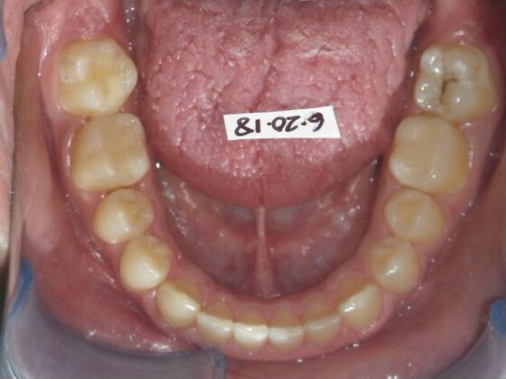
Patient presents with generalized upper and lower moderate spacing, with lack of available space for upper cuspids. Upper posterior premolar and molar teeth need to be distalized or moved backwards to allow for proper interdigitation of all posterior teeth. Patient was mainly concerned with the gaps in his teeth and had no idea any thing else was wrong. This was all treated with conventional orthodontic straight wire appliances. He was very proud of his smile once we were completed with treatment.

















